泡泡资讯网
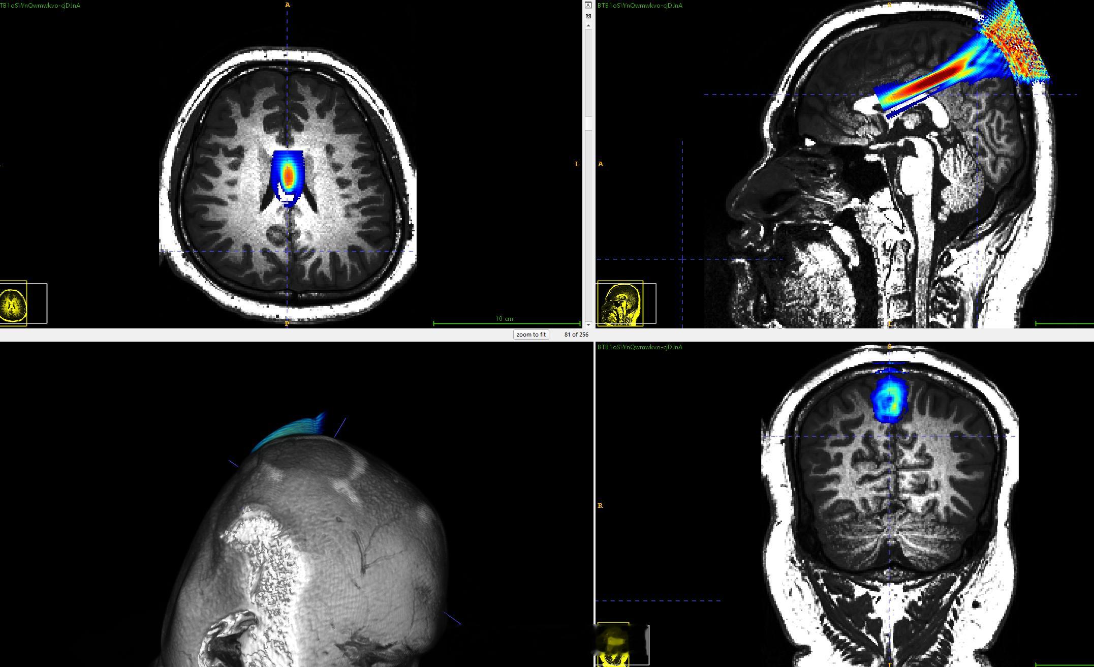
要把这个效果做出来,两个体数据渲染,其中一个场数据渲染出像素伪彩、透明度
秦始皇看科技
2025-11-12 19:54:20
要把这个效果做出来,两个体数据渲染,其中一个场数据 渲染出像素伪彩、透明度
0
阅读:0
秦始皇看科技
感谢大家的关注
作者最新文章
1
2025年第44周,北京链家二手房实时成交10月 27 号(周一)226 套10
2
美国与东大达成安世协议前未通知欧洲欧洲中部时间11月11日,《南华早报》独家报道
3
要把这个效果做出来,两个体数据渲染,其中一个场数据 渲染出像素伪彩、透明度
4
据《乌克兰真理报》10日援引美国《华尔街日报》消息,德国调查人员查明,涉嫌炸毁“
5
2025年11月11日的十五运会男子50米蝶泳决赛中,天津选手王长浩以23秒30
6
2025年11月11日,十五运会游泳项目男子100米仰泳半决赛在深圳大运中心游泳
7
2025年11月11日下午的十五运会跳水收官战女子3米板决赛中,广东队选手林珊以
8
官方正积极对接贝爷或空降七星山张家界第二届“七星山骆驼杯”极限荒野求生挑战赛有关
9
建议给全运会大湾鸡颁发最敬业奖网友建议给全运会“大湾鸡”颁最敬业奖,是实至名归的
10
侯志慧 全运会2025年11月10日的第十五届全运会上,奥运冠军侯志慧在举重女子
热门分类
推荐
热榜
军事
NBA
体育
社会
明星八卦
娱乐
财经
科技
汽车
历史
国际
游戏
动漫
公益
搞笑
商业
互联网
数码
国际足球
房产
家居
时尚
科学探索
职场
育儿
股票
教育
影视
情感
热点
中国军情
武器
中国南海
中国足球
亚洲杯
科比
综合体育
CBA
投资
大咖秀
外汇
创业
风口
SUV
豪车
概念车
优惠
新能源
美国
欧洲
朝日韩
俄罗斯
孕期
街拍
婚姻
正能量
科技
TOP
1
这是做什么工作的?电脑上也看不懂
2
华为官宣鸿蒙操作系统610月22日特别发布,官宣更好看,更好用,更智能,更安
3
中国移动你是良心发现了吗?中国移动你是良心发现了吗?18年的老用户了,每个月就
4
小鹏机器人“猫步”惊艳全场!网友疑是真人,何小鹏四字回应暗藏玄机昨日,第七届小
5
估计不止刘强东和雷军就连马云也发懵了于东来最近这是怎么了,他竟然又说50万元3小
6
全球芯片代工市场,台积电的市场份额是70%,台积电估值1万亿美元,中芯国际的市场
7
HarmonyOS6来了,10月22日14:30,鸿蒙操作系统6
8
最近关于荣耀500系列的爆料越来越全面,如果这些配置是真的就太棒了!数字系列一
9
对小鹏机器人太好奇了,不可能是真人套个皮吧?小鹏好歹是家上市公司专门开个发布会亮
10
即将开启11月中端影像机大战!OPPO、vivo、荣耀两亿像素普及!!三款
科技
最新文章
1
1400的荣耀GT,炸了我都要夸它响千元机却有骁龙8Gen3旗舰芯片,而且还是
2
荣耀500系列海报正式亮相!提前上手真机的用户纷纷表示,从实际观感来看,荣耀50
3
荣耀500大概就是这样了,猜价格?首先是外观全新大变样,这颜值比上一代提
4
发布会可以不用开了,荣耀500真机开箱来了,而且配置参数基本确定从媒体放出的
5
华为Mate80这个月发布?我都快馋疯了上次买华为还有,还是20年的Mate
6
想换mate70air了,在华为店模拟日常使用试玩了半天,9020b在华为这是吃
7
荣耀power2真要来了?10000mAh超级大电池,要是还有国补的话,不到20
8
从华为Mate60Pro换到荣耀Magic8Pro,续航和拍照的提升是意料之
9
重磅消息!华为Mate80系列手机壳曝光,摄像模组是居中大圆,和华为Mate
10
【荣耀500系列官宣】11月12日,荣耀500系列正式官宣,号称全系越级配置,带