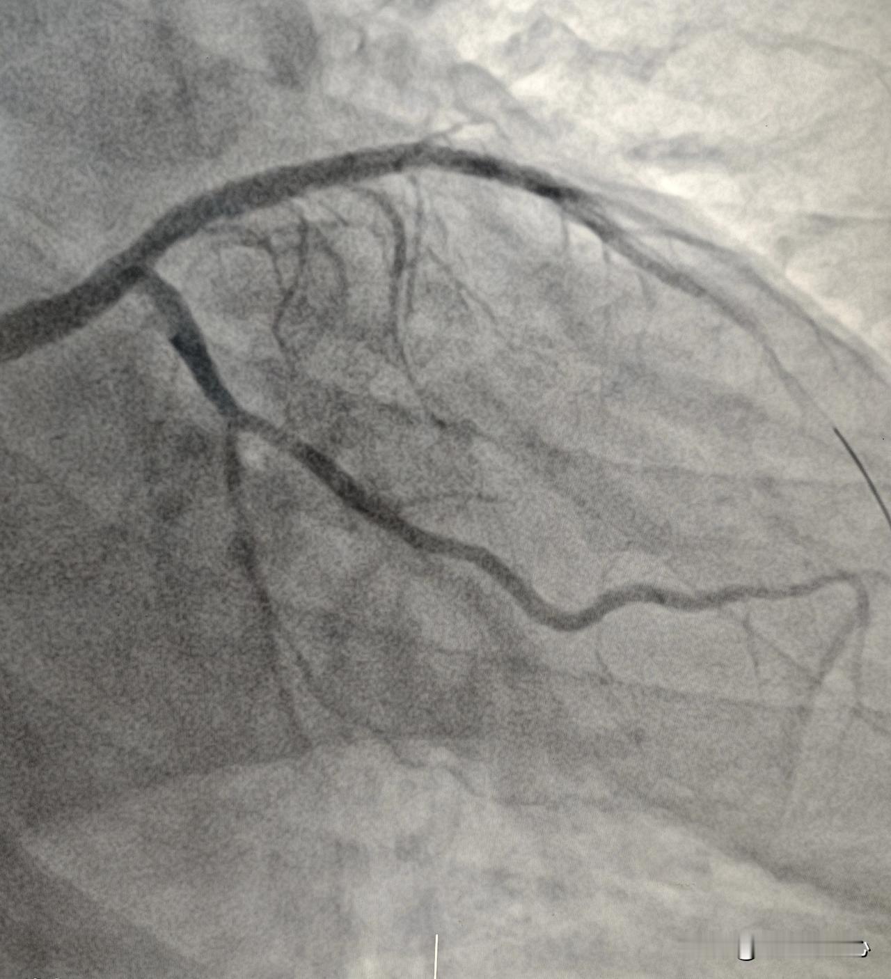
来看看 2018 年到 2025 年 7 年间冻龄不衰老的冠状动脉。 66 岁男性,7 年前因为冠心病右冠做了心脏支架,前降支狭窄 70% 左右没有做支架。期间一直规范化吃药治疗,烟是一根都没抽了。今年来医院复查造影,右冠支架通畅,前降支原有血管也没有加重。 血管衰老跟人衰老一样,随着年龄增长和外界不良因素的影响,一般呈现逐渐缓慢加重的趋势。而这位患者 7 年间前降支一点都没有加重,血管衰老好像在他身上停滞了。动脉硬化冠心病治疗药物非常重要,比做支架更重要。


来看看 2018 年到 2025 年 7 年间冻龄不衰老的冠状动脉。 66 岁男性,7 年前因为冠心病右冠做了心脏支架,前降支狭窄 70% 左右没有做支架。期间一直规范化吃药治疗,烟是一根都没抽了。今年来医院复查造影,右冠支架通畅,前降支原有血管也没有加重。 血管衰老跟人衰老一样,随着年龄增长和外界不良因素的影响,一般呈现逐渐缓慢加重的趋势。而这位患者 7 年间前降支一点都没有加重,血管衰老好像在他身上停滞了。动脉硬化冠心病治疗药物非常重要,比做支架更重要。


猜你喜欢
【2评论】【67点赞】
【2评论】【30点赞】
【18评论】【37点赞】
作者最新文章
热门分类