这位男性患者35岁,在体检中发现右肺有一个磨玻璃结节,已经随访快一年了,大小和形

乔贵 2025-11-20 10:52:40

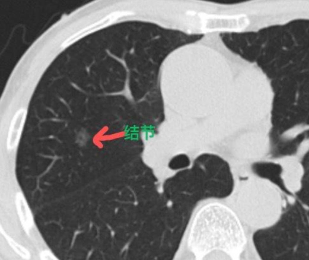
这位男性患者35岁,在体检中发现右肺有一个磨玻璃结节,已经随访快一年了,大小和形态一直没变化。从影像上看,我们判断它大概率是早期的原位癌或者微浸润癌。 他来门诊找我时,整个人状态很焦虑。他说自从查出这个结节,饭也吃不好、觉也睡不踏实,心理压力特别大。 细问才知道,原来他家里有亲人得过肺癌,查出来时已经是晚期,所以他对“观察等待”特别抗拒,一直希望我能尽快给他安排手术。 我跟他详细解释过,像他这种磨玻璃结节,密度低、个头小,目前定期随访是非常安全的,不会扩散也不会转移。哪怕未来真有变化,再手术也完全来得及,效果一样好。 但他态度很坚决,就是不想再等了。考虑到结节的性质比较明确,我们给他做了三维重建,仔细规划手术方案,希望能尽量帮他保留正常的肺组织。 这个结节的位置在肺的亚段——如果把肺比作一棵树,亚段就像是主干分出来的小分支。最后我们为他做了亚段切除,只切除了很小一部分肺组织,结节完整拿掉了。 术后病理证实是微浸润腺癌,因为发现得早、处理得及时,术后也不需要放化疗,达到了治愈的效果。 作为医生,我一直主张“没有变化就不急于手术”。但这次我也意识到,当一颗结节已经严重影响到患者的正常生活和情绪,而医学上也具备安全切除的条件时,尊重患者的意愿,用最小的代价解决问题,或许也是一种负责任的选择。 毕竟,能让他彻底安心,回归正常生活,同样是治疗的重要目标。[玫瑰][作揖]胸外科乔贵宾医生MCN双量进阶计划 [心]附:线下免费义诊!11月21日(周五上午),在南方医科大学珠江医院 门诊大厅

0 阅读:196
乔贵

乔贵

感谢大家的关注