很多人觉得牙齿掉了能补,坏了能镶,但这其实是身体在发出最后的“最后通牒”。
关于“牙齿决定寿命”的说法,背后藏着一组冰冷的数据:六十岁以上的人,如果牙齿缺失超过八颗,全因死亡风险会比牙齿齐全的人整整高出百分之三十。
这绝不仅仅是吃不动肉的问题。当一个人的牙床开始变得稀疏,咀嚼效率直线下降,身体吸收不到足够的营养,肌肉就会以肉眼可见的速度流失,代谢系统跟着全面溃败。
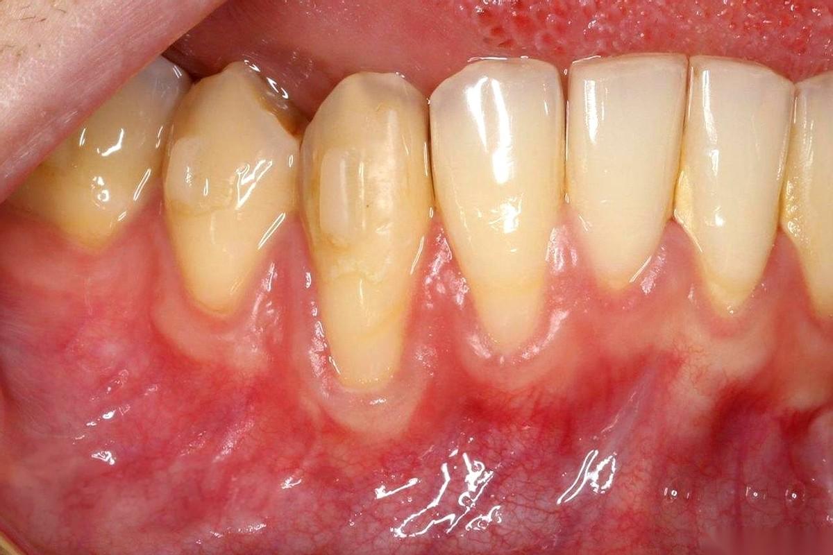
再看牙龈。如果牙根越露越长,刷牙时水池里总有一抹刺眼的红。别以为换把软毛牙刷就能解决,那些原本待在口腔里的细菌,正顺着萎缩的伤口钻进血管,一路杀向心脏,增加动脉硬化的风险。
甚至连牙齿发黄、口干舌燥这种小事,也是大脑萎缩的前兆。唾液变少,保护屏障就塌了,口腔里的炎症火球会顺着神经系统烧向大脑,让人的认知功能加速退化。
牙齿从来不是长给人看的“门面”,它更像是身体各系统的“压力表”。
是现在每天花几分钟和牙刷、牙线较劲,还是等以后对着满桌饭菜只能咽口水?这笔账,每个人心里都该有个底。


