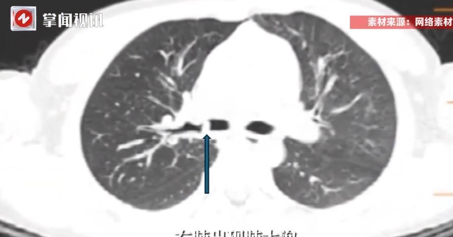
“心太大了!”近日,广州,一名6岁男孩吃猪脚时突然吐血,家长赶紧把孩子送到医院,医生竟然在肺里挖出半年前的糖果包装袋!原来,男孩曾因吃糖剧烈咳嗽,后缓过来,就没带孩子去医院,而孩子半年来,一直咳嗽不断,家长也没当回事,网友:太大意了! 养孩子这事,真是半点马虎不得,一点的差错,都可是追悔莫及。 前几天,这名6岁的小男孩吃饭时,夹了块猪脚刚嚼没几口,突然捂着嘴直咳嗽,紧接着就吐出了一口血,这可把一家人吓坏了,抱起孩子就往医院冲,急诊室里,医生检查后脸色都变了。 通过CT一看,孩子的右肺里卡着个异物,孩子的家长这才想起来,半年前,孩子边吃糖边跑,突然呛得满脸通红,咳得喘不上气,夫妻俩当时吓得不行,拍了半天后背,孩子慢慢缓过来了,也就没往医院送。 可从那以后,孩子就落下了咳嗽的毛病,时不时咳几声,尤其晚上躺下来更明显,孩子爸妈总觉得“小孩咳嗽很正常”,有时给吃点止咳药,见没加重就没当回事,直到这次吃猪脚引发吐血,才知道闯了大祸。 医生听了后,赶紧安排手术,等把东西取出来,在场的人都愣住了,居然是半片皱巴巴的糖果包装袋,医生表示,孩子呛咳时很可能把糖果和包装袋一起吸进了气管,慢慢滑进了肺部。 这半年里,包装袋一直在肺里发炎、化脓,这次吃猪脚时的剧烈咳嗽,刚好震破了发炎的血管,才导致吐血,不得不说,这家长的心太大了,说真的,带孩子就像走钢丝,看着不起眼的小毛病,说不定藏着大风险。 信息来源:《家长太大意!6岁孩童咳血送医,肺里挖出半年前的糖果包装袋》掌闻视讯


